First described by Slocum in the mid-1980s, the TPLO procedure provides stability to the CrCL deficient knee during weight bearing by altering joint mechanics - the tibial plateau angle (slope) is acutely decreased to 0-5 degrees from an average slope of 22-30 degrees. The result is dynamic stability to the knee, elimination of joint pain and restoration of maximal athletic function following a tear of the cranial cruciate ligament.
During TPLO, the surgeon will use a bone saw to make a curved cut (osteotomy) in the proximal tibia and rotate the top (plateau) segment so that the load-bearing surface of the tibia is now "level" with the long axis of the bone. A bone plate with screws is then applied to hold the tibial plateau in this new geometry and to allow the bone to permanently heal in the new orientation.
Because the TPLO alters the load-bearing surface of tibia, it changes the weight-bearing dynamics of the knee joint to create a stable, functional “workaround” solution for the lack of a CrCL. Despite the invasiveness of the procedure, dogs who receive TPLOs typically experience an early and dramatically increased activity level, allowing a return to an active pet-partner lifestyle.
TPLO is also extremely versatile and can be used to manage CrCL tears in the widest variety of patients from the very small to giant breeds.
TPLO can also be used - in combination with other techniques - to manage a number of conformational problems including bone deformity, limb malignment, patella luxations and excessive tibial slope.
Recovery time and complete return to normal activities following the TPLO procedure is rapid compared to the human standard – only about 4 months.
Based on nearly three decades of experience, the opinion of a majority of board-certified specialists and extensive, peer-reviewed published orthopedic research, the appropriately performed TPLO is considered the gold standard of CrCL tear management and continues to be the benchmark by which other, newer and different techniques are compared.
For more information of “Why TPLO?” may be right for your dog, click here.
1990s was once a tightly controlled and, in fact, regulated procedure. There was a single set of instruments including saws, saw blades and TPLO jigs – with one bone plate implant and a single recommended technique. The TPLO procedure was generally administered by a smaller number of specialists with similar advanced training and considerable orthopedic expertise.
Today there are hundreds - if not thousands - of permutations of the TPLO! Differences begin with diagnostic x-ray positioning, measurement of tibial slopes and surgical planning – and that’s before we even get into the operating room. Differences grow even greater when we consider how the joint is approached, how secondary meniscal cartilage tears are identified and managed, performance of meniscus release, the use (or not) of a TPLO jig and the choice of one of several dozens of combinations of bone plate and screws that vary in quality.
And all this doesn’t even begin to account for a veterinary surgeon’s different training background, credentials such as specialty certification, individual accomplishments and experience to consistently and successfully perform the operation.
At Arizona Canine Orthopedics and Sports Medicine (ACOSM), your dog’s knee operation will be performed by a surgeon who is a nationally recognized expert in TPLO. Dr. Ross Lirtzman has performed over 2,300 TPLOs, and is a celebrated instructor of both basic and advanced TPLO techniques including management of excessive tibial slope, patella luxation and small breed TPLO.
Before performing any surgical intervention, Dr. Lirtzman uses sophisticated orthopedic software to plan the operation virtually. Based on real landmarks and measurements of well-positioned pre-operative x-rays, the TPLO is ‘virtually’ performed on the computer first to establish an exact blueprint for the procedure. Then the information regarding size and precise location of the ‘centered’ osteotomy and amount of plateau rotation can be transferred to the operating room for the most consistent surgical results.
ACOSM uses the highest quality instruments, power equipment, jigs and metallic implants to perform the TPLO. From human-quality, DePuy Synthes Vet bone screws to advanced, contoured, locking bone plates that promote faster and less complicated healing, every component of the operation conforms to the highest possible standard of care.
A wide variety of TPLO operations and surgeons means a widening variety of outcomes for pets. Your companion deserves dependable results.
That’s why we say, “All TPLOs are not the same!” and why it’s so important to choose an experienced specialist you can trust who works with the highest quality instruments and implants.
ACOSM is committed to impeccable client and patient care. That’s why we guarantee the successfully healed outcome of all of our TPLOs. It’s a unique medical warranty you won’t find anywhere else.
As opposed to traditional veterinary “fee for service” care, we believe in what’s called “outcomes-based” reimbursement. In other words, you pay us for success - one fee covers the operation and all follow-up care. And if there are any complications, we fix them. It’s that simple and it’s free!
Recovery time and complete return to normal activities following the TPLO procedure is rapid - approximately 10-12 weeks. Immediately following knee arthroscopy and TPLO surgery, dogs will typically use the operated limb and are more comfortable much sooner than following extracapsular techniques. For these reasons, and others, TPLO is considered by a majority of board-certified specialists to be the "gold standard" for management of CrCL tears in dogs.
The Arizona Canine Orthopedics & Sports Medicine approach is locally unique and exceptional based on:
Do your homework... all TPLOs are not the same! What had once been a uniform and structured technique performed by a small number of board-certified specialists using the same instrumentation and orthopedic implants has today become a tremendously variable procedure with potentially equally variable outcomes.
Today, there are literally hundreds of combinations of techniques (arthroscopy vs. arthrotomy, muscle elevation, meniscus release), the use of and type of temporary alignment jigs and cutting guides, different saws and blade combinations and more than a half dozen different manufacturers of varying sizes and shapes of bone plates and screws implants.
In short, all TPLOs are not the same!
The immediate postoperative radiographic images at the right are examples of precise TPLO planning, excellent limb alignment and ideal orthopedic implants size and position.
Following the earliest clinical investigations of TPLO in the mid- to late 1980s, this once tightly controlled and even regulated operation was approached with a very high degree of consistency, viz., smaller numbers of experienced, board-certified veterinary surgeons were using very similar techniques, the same instrumentation and implant systems.
Originally consistent and reliably successful results reflected the uniformity of the surgical approach.
Presently, there are a very large number of veterinarians - both specialists and general practitioners - with widely diverse backgrounds, surgical training and orthopedic experience performing TPLO.
In addition, there are now literally several hundreds of ways to perform TPLO based on differences in technique, instruments and very different implants.
And while there may be numerous acceptable TPLO techniques that lead to successful functional recoveries, only common sense suggests that with so much variability amongst surgeons and the procedure itself, there will likely be vastly different outcomes. In other words, “all TPLO’s are not the same!
Finally... why would a native of Dallas, Texas drive her breed national champion and master hunter Labrador Retriever more than 1000 miles over 15 hours to come see the surgeons of Arizona Canine Orthopedics & Sports Medicine? See for yourself and click here.
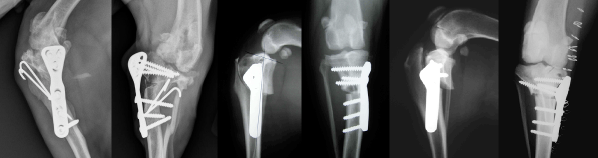
Below are four cases of previously operated dogs referred to ACOSM for salvage. Each is an example of poor TPLO techniques and outcomes. In the case of the second series of radiographs, serious intra-operative complications associated with TPLO, a broken jig pin, poor surgical technique and resulting formation of a ring sequestrum resulted in uncontrolled infection and loss of the limb.


Make no mistake, all surgical procedures are serious. Get the information you need and know your options. Then make an informed decision. Like any service, not all veterinary services are equal. Call to schedule or ask questions.
We pride ourselves on doing things differently. We insist on providing premier service to our patients and their caregivers. There's a saying, "Price is what you pay; value is what you get." At ACOSM, delivering on value is our mission.
We're proud of our experience, skill, and outcomes; it puts us in a category of one, which means you'll experience things with us not promised by any other veterinarian in AZ.
Distal Femoral Osteotomy for Comprehensive Treatment of Medial Patella Luxation
Three-Dimensional Printed Patient Specific Guides for Acute Correction of Deformities
Comparison of Arthroscopy and Arthrotomy for Diagnosis of Medial Meniscal Pathology
Second Look Arthroscopic Findings After Tibial Plateau Leveling Osteotomy
Arizona Canine Orthopedics & Sports Medicine
7410 E. Pinnacle Peak Road, Suite 110 Scottsdale, Arizona 85255
480.998.5999Just have a question?
Give us a call.
Watch real procedures.YouTube Check out our Instagram.Instagram
Copyright © 2026 Arizona Canine Orthopedic Sports Medicine (ACOSM). All rights reserved. Sitemap Privacy Terms
